专注动物矿物元素营养与健康

关注公众号 关注视频号

联系电话400-027-1997

联系电话19183816468

188金宝搏安卓下载
-新闻中心

热搜关键词: 蛋鸡饲料添加剂厂家 生物饲料添加剂 188app下载 饲料添加剂厂家

治不如养,养胃是预防鸡腺胃炎和肌胃炎的有效手段

来源:188金宝搏安卓下载 微营养 | 发布日期:2022-05-25

  养生有名言说“胃病是富贵病,治胃不如养胃”,这句话在鸡也适用。

  腺胃炎、肌胃炎已成为养鸡领域容易传播流行的传染性疾病,在任何年龄和品种的鸡群中均可发生,并且发病率呈现逐年升高的趋势。

  1.腺胃和肌胃的解剖学和生理学特征。

  鸡的胃分为腺胃和肌胃(如图1所示),腺胃比较小,可分泌盐酸和胃蛋白酶。腺胃容量小,饲料不会在此停留太长时间。肌胃比较大,由高度发达的肌肉层组成, 可对食物产生高压力, 将饲料磨碎,起到类似于“牙齿”的作用,但不分泌任何酶。肌胃靠近内腔处有一层角质层, 该层可对饲料进行机械加工,并可起屏障作用, 保护其下的粘膜层免受盐酸及胃蛋白酶的侵袭。

鸡的内脏解剖图

图1 鸡的内脏解剖图片

  2. 腺胃炎和肌胃炎的症状。

  2.1腺胃炎 特征性症状为腺胃肿大,严重者呈球形,黏膜水肿、炎症、出血、溃烂。

  2.2肌胃炎(gizzard erosion)多发生于日龄较大的肉仔鸡或5月龄以下的蛋、种鸡,临床上以生长发育受阻、肌胃角质层溃疡糜烂、局部增厚,黏膜不易剥离,胃内容物变黄、变绿、变黑,粪便呈黑褐色稀粪或软粪,因呕吐物为黑褐色液体,故GE又称为“黑色呕吐病(black vomit)”发病率较高,如并发或混合感染时,死亡率较高。病初,鸡群精神沉郁,缩颈呆立或蹲伏,采食量下降,不愿走动;随后,排黑褐色稀软粪便,日渐消瘦,个别鸡嗉囊松软扩张,将鸡倒提或挤压嗉囊,可从口中流出酱油状黑褐色液体,随后病鸡因消耗衰竭而死,也有突发死亡现象。(如图2所示)。

鸡肌胃炎解剖图

图2 患腺胃、肌胃炎症病鸡解剖图

  3. 引发腺胃炎和肌胃炎的因素和致病机制。

  3.1 非传染性因素。

  3.1.1 霉菌毒素

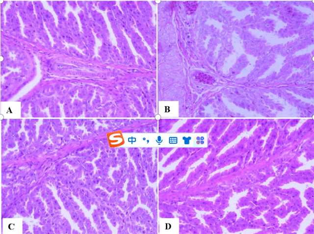
  发霉饲料中霉菌毒素含量很高,且种类繁多。T-2毒素、单醋酸熏草镰刀菌烯醇(monoacetoxyscirpenol, MAS) 和二醋酸熏草镰刀菌烯醇,是单端孢霉烯组腐蚀性较强的3种霉菌毒素。T- 2毒素和DAS是该组中腐蚀性最强的霉菌毒素, 可引起严重的腺胃、肌胃和羽毛上皮黏膜坏死,产生严重的肌胃糜烂病变。主要作用机理有两方面:其一是口腔中的唾液提高了这些霉菌毒素的黏附力,导致细胞原生质溶解该部位中的细胞。其二是毒素吸收进入血液, 随后进入唾液; 而唾液中的霉菌毒素会使口腔发生病变, 可能会损害肌胃。李安平发现,霉菌毒素可提高雏鸡的腺胃和肌胃指数,引起雏鸡腺胃、肌胃组织发生损伤,使腺胃、肌胃出现坏死。(如图3所示)

霉菌毒素对雏鸡腺胃组织病理损伤观察

图3 霉菌毒素对雏鸡腺胃组织病理损伤观察(HE染,400×)

A:对照组,B:毒素低剂量组,

C:毒素中剂量组,D:毒素高剂量组

  3.1.2 硫酸铜中毒

  硫酸铜作为促生长剂或抑霉菌剂,常以500g/t的浓度加入饲料作为生长促进剂或抑真菌剂。当发现饲料受到严重的霉菌污染时, 硫酸铜添加浓度常常提高到 1kg/t, 高浓度的硫酸铜对鸡的胃肠粘膜可产生强烈刺激作用,导致嗉囊和食道下部发生凝固性坏死;肌胃粘膜卡他性炎症,呈淡绿色并有出血点,严重时导致肌胃糜烂。

  3.1.3 生物胺

  生物胺主要是动物源性饲料中氨基酸降解后的副产品, 主要包括尸胺、色胺、组胺、腐胺、精胺、酪胺及苯丙氨酸。链球菌、沙门氏菌、志贺氏菌、乳酸菌、大肠杆菌和梭菌等细菌可以将组氨酸转化为组胺, 而组胺是导致仔鸡生产性能低下的最重要的生物胺之一。它可刺激腺胃腺体中的受体, 提高盐酸分泌量, 导致表层肌胃糜烂。

  3.1.4 鱼粉中的肌胃糜烂素。

  鱼粉一直被认为可引发肌胃糜烂,引起病变程度从肌胃细小的裂痕到严重的溃疡、出血,随后肌胃遭到毁坏,即所谓的“黑色呕吐”。如果鱼粉加工不当,高温下组氨酸或组胺与赖氨酸结合形成一种叫肌胃糜烂素(gizzerosine)的化合物。肌胃糜烂素不属于生物胺, 但其刺激腺胃产酸的能力是组胺的10倍, 引发肌胃糜烂的能力将近组胺的300倍。可利用高效液相色谱仪(HPLC)来检测鱼粉及饲料中肌胃糜烂素的含量, 肉鸡能耐受的饲料中最大肌胃糜烂素浓度0.4ppm。

  3.1.5 饲料中营养物质。

  饲料中一些营养物质因缺乏或过量,也会导致腺胃、肌胃炎的发生,现将具体内容总结如下:

表1 不同营养物质使用不当对鸡的腺胃、肌胃的影响

不同营养物质使用不当对鸡的腺胃、肌胃的影响表

  3.1.6 应激

  寒冷气候,雏鸡在长途运输中,保温措施做得不到位及受到冷风的刺激, 所产生的应激影响腺胃和肌胃的发育,造成鸡腺胃糜烂和肌胃病变等临床症状;夏季湿热的鸡舍环境,鸡舍通风差,粪便清理不及时,使鸡舍内硫化氢、氨气、一氧化碳等气体浓度较高,鸡产生热应激,鸡群自身的抵抗力下降,对病原微生物的抗病能力降低,极有可能诱发腺、肌胃炎。

  3.2 传染性因素。

  一些传染性疾病也会诱发鸡的腺胃炎和肌胃炎的发生,或者并发症也会对腺胃、肌胃进行破坏,具体内容总结如下:

表2 诱发鸡腺胃、肌胃炎的传染性疾病

诱发鸡腺胃、肌胃炎的传染性疾病表

  4. 治不如养,养胃是防控腺胃炎和肌胃炎的有效手段。

  因引起鸡腺胃炎和肌胃炎的病因比较复杂多样,防控大于治疗,养胃是防控的有效手段之一,下面将养胃的途径介绍如下:

鸡养胃途径介绍

  5. 胃黄金颗粒--养胃高招。

  188金宝搏安卓下载 胃黄金颗粒分别从降低抗氧化损伤、抗毒素、提高食糜消化率、增强免疫力等方面进行养胃。

  5.1纳米硒可提高抗氧化、抗应激、抗损伤和解毒的能力。

  5.2晶体状矿物质,可提高肌胃研磨功能,促进颗粒食物食糜化。

  5.3有机微量元素,利用率更高,增强胃黏膜抗损伤功能。

  5.4抗氧化复合酶,具有强抗氧化、解毒素、调理肠道菌群等功效。

  养胃是控制疾病的重要手段,要重视腺胃炎及肌胃炎的防控,降低经济损失。

最新资讯

Baidu
map