专注动物矿物元素营养与健康

关注公众号 关注视频号

联系电话400-027-1997

联系电话19183816468

188金宝搏安卓下载
-新闻中心

热搜关键词: 蛋鸡饲料添加剂厂家 生物饲料添加剂 188app下载 饲料添加剂厂家

【养猪技术】巩固黏膜防线,减少病原微生物入侵

来源:188金宝搏安卓下载 动保 | 发布日期:2023-11-20

188金宝搏安卓下载
动保饲料添加剂招商


非瘟病毒是怎样入侵机体的?


呼吸道和消化道是非洲猪瘟病毒入侵的主要门户,单核-巨噬细胞是病毒的主要靶细胞。病毒主要通过巨胞饮或 网格蛋白介导的内吞完成其入侵。随后经血液和或淋巴转移至淋巴结、骨髓、脾、肝和肾二次复制。


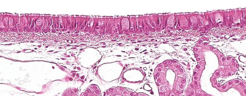
猪呼吸道黏膜


所有粘膜上皮组织(主要是消化道/呼吸道)固有层中都有巨噬细胞和 单核细胞。当粘膜上皮组织破损时,巨噬细胞会大量聚集,与病毒直接接触。


猪防御体系及相互关系


非瘟当下“防”是首选,健康完整的皮肤和粘膜构成第一道屏障,将“非瘟"病毒抵挡在外!


维生素和矿物质的营养对策


营养是免疫的基础,而许多维生素和锌对构建完整的皮肤与粘膜起着直接或间接的作用:



维生素A

  · 促进皮肤和粘膜的生成

  · 维持上皮细胞和粘膜表面功能完整性

  · 维持呼吸、消化道上皮组织的完整



β-胡萝卜素

  · 进入动物体后可以转变为维生素A,作为维生素A的一个安全来源和补充

  · 消除动物本身自由基,减少自由基对细胞和细胞膜的损伤,维护完整性


养猪技术



生物素

  · 维持机体上皮组织和角质层细胞完整性

  · 缺乏会导致消化道、呼吸道和泌尿道上皮细胞组织不完整,动物体易受细菌和病毒感染



维生素E

  · 细胞内 抗氧化剂,保护细胞膜的完整

  · 稳定和保护细胞代谢中对氧化作用敏感的脂肪酸以及其他敏感的化合物,诸如:维生素A、β-胡萝卜素

  · 防止机体组织 不饱和脂肪酸的氧化,防止由机体或环境产生的不稳定、破坏性的自由基所引起的机体细胞的氧化破坏


养猪技术



维生素C

  · 抗应激

  · 组织修复,胶原组织的形成,加强细胞间联系,防止病原体入侵

  · 抗氧化剂:保护维生素A、维生素E、β-胡萝卜素,保证它们的活性

  · 其抗氧化作用可抵御自由基对机体伤害,维持细胞组织完整性



烟酸

  · 烟酸是氧化-还原反应中电子的载体,它以辅酶形式存在于烟酰胺腺嘌呤二核苷酸是一种超强抗氧化剂,可保护机体细胞。

  · 促进其它抗氧化物再生(维生素E、维生素C、谷胱甘肽等)




锌 / 平衡免疫,对抗感染的平价营养素

支持免疫器官和免疫细胞的正常发育

  锌缺乏时可引起胸腺、脾、淋巴结和肠道淋巴组织功能不全,严重者发展为淋巴组织萎缩。

  锌调节免疫细胞的增殖、分化、成熟和功能。

通过多种机制对抗感染

  支持呼吸道粘膜表面纤毛的清除作用,维持上皮细胞的完整性,增强其屏障功能并帮助伤口愈合,抑制多种病毒进入细胞复制。

  锌被证明通过调节病毒颗粒进入、融合、复制、病毒蛋白翻译和对一些病毒(包括参与呼吸系统病理的病毒)的进一步释放,对病毒感染具有显著影响。

平衡免疫,动态调节免疫

  锌的作用一般不应被描述为增强免疫或抑制免疫,而应该被描述为“平衡免疫”,即通过平衡多种免疫细胞和细胞因子水平,来增强低下的免疫或下调过度的免疫和炎症反应。

  锌的抗氧化作用能稳定细胞膜,减少自由基损失正常的组织细胞。


养猪技术



维他活力王


有机螯合锌及多种维生素科学配伍,维生素含量高、水溶性好、养殖动物吸收好。


维他活力王


  · 补充机体所需的维生素与微量元素,促进机体糖、脂肪、蛋白质代谢和营养吸收。

  · 增强免疫力,提高疫苗免疫效果,解除免疫抑制,消除亚健康状态,调节机体免疫系统功能,全面提高机体免疫力;使用疫苗时(前、中、后)使用本品,可提高免疫应答水平,促进抗体形成,提高疫苗免疫效果。

  · 迅速、全面的抗应激作用,调节动物机体电解质平衡,提高机体抗应激能力,降低因气候突变、运输、分娩、转群/并群、断奶、换料、阉割、注射疫苗(药物)、捕捉驱赶等引起的反应应激,减少动物躁动、打斗、拱栏、咬尾、异食癖、啄癖等异常行为。


188金宝搏安卓下载
动保饲料添加剂招商

  如果你是兽药、动保经销商,想代理188金宝搏安卓下载 动保的产品,请拨打 400-027-1997与我们联系,期待与你合作!


【本文标签】 养猪技术 188金宝搏安卓下载 动保 维他活力王 猪只防御体系

【责任编辑】188金宝搏安卓下载 动保

最新资讯

Baidu
map