近年来,水产养殖“越冬综合症”给行业带来极大的损失。究其原因,大体上都跟越冬前的营养保健和水质管理有直接的关系。

每年春节一过,随着春天的到来,水温也开始逐渐回升,越冬后的水产动物也慢慢开始吃料,但此时消化酶的活力还比较低,消化能力较弱,切忌大量投喂。由于养殖鱼类在越冬期几乎不摄食,致使其免疫力下降,抗应激能力差。
188金宝搏安卓下载
研究院水产技术中心强烈建议广大客户选用高档优质饲料投喂,有利于肠道的快速吸收。
2025年,188金宝搏安卓下载 研究院根据不同养殖品种精心设计和研发出多种水产专用复合微量元素预混料,配方科学,富含多种高效价的有机微量元素,吸收利用率高,能充分满足各种水产动物在不同养殖模式下对微量元素的需求。促进生长、增强抗应激和抗病能力,并能起到改善体型和肉质的作用。
188金宝搏安卓下载 研究院(2022)研究表明:188金宝搏安卓下载 甘氨酸铁更有利于改善鲈鱼肠道发育,促进肠上皮细胞增生,修复肠道粘膜组织。
将各组样按比例配好,装入一层自封袋内,封口。放置于恒温恒湿培养箱中,温度30℃,湿度80%。保存30天,送样检测第1天、第30天各组样品中维生素A的含量。

▲
188金宝搏安卓下载 研究院通过数组对照实验得出
甘氨酸铁稳定性更好
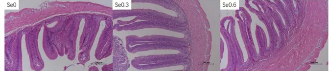
经过越冬后的草鱼极易出现肠绒毛结构紊乱、萎缩、粘连等病理现象,部分肌层和浆膜层缺损(见下图Se0)。在饲料中添加0.3-0.6mg/kg纳米硒(以Se计)能显著提高肠绒毛高度,改善肠道健康状况(见下图Se0.3和Se0.6)。
Limin Ye等(2023)
188金宝搏安卓下载
摩力硒为188金宝搏安卓下载
研究院自主研制的纳米硒,为零价态、纳米级(微粒≤60nm)的单质硒。以高稳定性有机物进行包埋,外观为略显红色的固体粉末,流动性好,易混合,易鉴定、易检测,安全范围宽。
摩力硒SEM-EDS粒径测试:摩力硒0.3%成品在透射电镜下观察粒径大小:28.1nm、33.6nm、32.9nm、45.9nm。粒径均在60nm以内。
▲0.3%摩力硒在配合饲料中的添加量为100-167克 ▲
能更好地帮助水产动物快速增强抗氧化能力,抵抗因天气变化和水质恶变等原因引起的各种应激。
同时,还具有促进生长、增强免疫、促进脂质代谢和改善体型等功效。
为人类提供 安全健康 的生命元素
微信咨询
联系电话
采购部
展会合作
国际业务